The VIBE Concept: PFT Tunnel + SCS Suture Course
The VIBE Concept: PFT Tunnel + SCS Suture Course
The VIBE Concept: PFT Tunnel + SCS Suture Course
The VIBE Concept: PFT Tunnel + SCS Suture Course

The VIBE Concept: PFT Tunnel + SCS Suture Course

Regular price$3,995.00
/
  • Seats Available, but Filling Up Fast
  • Inventory on the way

  • Multiple Courses Offered

The VIBE Concept: PFT Tunnel + SCS Suture

Course Dates: November 13–15, 2026   8am - 5pm daily

Location: BDG Think Tank - 2101 S. Jones Blvd. Las Vegas, NV 89146

24 Continuing Education Credits

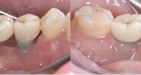
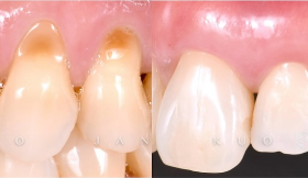
This three-day continuing education program presents an advanced, minimally invasive periodontal approach designed to manage complex soft tissue conditions in the lower anterior region. The course introduces the VIBE Concept, integrating the PFT tunneling technique with the SCS suturing method to support predictable clinical outcomes in periodontal regeneration and esthetic soft tissue management.

Instruction is based on documented clinical cases with extended follow-up and focuses on phenotype modification, periodontal regeneration, root coverage, and interdental soft tissue reconstruction. Emphasis is placed on biologic principles, microsurgical execution, and tissue preservation to enhance healing, stability, and esthetic outcomes while minimizing surgical trauma.

This program is designed to provide evidence-informed, clinically applicable protocols that participants may integrate into practice following completion of the course.


Educational Objectives

At the conclusion of this program, participants should be able to:

  • Describe the biologic and clinical principles underlying the VIBE Concept

  • Identify appropriate indications and case selection for PFT tunneling and SCS suturing

  • Explain microsurgical approaches for phenotype modification and periodontal regeneration

  • Discuss techniques for achieving root coverage in challenging anterior regions

  • Apply principles of interdental soft tissue reconstruction with attention to vascular preservation

  • Evaluate strategies to reduce surgical trauma and improve esthetic outcomes

  • Incorporate minimally invasive periodontal microsurgical protocols into clinical practice


Intended Audience

This continuing education activity is intended for:

  • Periodontists

  • Oral Surgeons

  • Implantologists

  • Prosthodontists

  • General Dentists with an interest in periodontal and regenerative microsurgery


Instructor

Dr. Po-Jan Kuo

Dr. Po-Jan Kuo serves as a Clinical Assistant Professor at the School of Dentistry, National Defense Medical Center in Taipei. He is recognized for his work in periodontology, periodontal regeneration, anti-inflammatory therapies, and microsurgical techniques, with particular emphasis on esthetic and biologically driven treatment approaches.

Dr. Kuo’s clinical and research interests include periodontal regeneration, minimally invasive microsurgery, and the integration of Chinese herbal medicine in anti-inflammatory treatment protocols. He has developed microsurgical techniques aimed at improving tissue harmony and reducing postoperative scarring, particularly in esthetic zones.

In addition to his academic appointment, Dr. Kuo maintains a private clinical practice and actively publishes and lectures on advanced periodontal and regenerative techniques.


Continuing Education Credit

This course is designated for 24 Continuing Education (CE) credits.

This site is protected by hCaptcha and the hCaptcha Privacy Policy and Terms of Service apply.

Don't take our word for it

★★★★★

Amazing course. Information presented was evidence based and extremely relevant and useful for your everyday practice. Highly recommend this course.

Dr. Alex Tu

Irvine, CA

★★★★★

The zero bone loss concepts course was very informative and well organized. The facilities were well appointed as well.

Dr. Jonathan Pak

Laughlin, NV

★★★★★

This is a MUST TAKE course and a must have tool under every Implantologists belt. It’s so good, I took the course twice!

Dr. David Ting

Las Vegas, NV